新仓论坛

 找回密码
 注册

QQ登录

只需一步,快速开始

搜索
热搜: 活动 交友 discuz
查看: 2269|回复: 14

珍惜生命,凡事适量

[复制链接]
发表于 2020-5-31 15:39:43 | 显示全部楼层 |阅读模式
杭州27岁小伙查出肺癌晚期,母亲嚎啕大哭:这个不孝子......[color=var(--weui-LINK)][url=]杭州日报[/url] [color=rgba(0, 0, 0, 0.3)]昨天


几天前的一个下午,萧山医院呼吸内科门诊来了一个面容憔悴的小伙子,病态的外貌和他不到30岁的年龄显得格格不入。
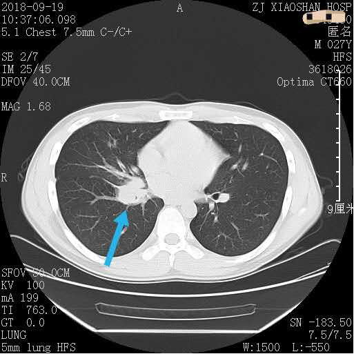
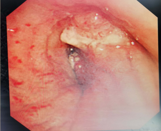
别看患者小吴年纪不大,可却已经是医院的“常客”了,近两年来,他已经门诊就诊78次,甚至连住院,都已经5次了。小吴第一次住院是在2018年9月。到呼吸内科病区住院时,护士们对他的第一印象就是非常“潮”,一枚单身小帅哥。但让护士们头疼的是小吴经常神出鬼没,一个不留神,人就不见了,总是偷偷溜出去抽烟。小吴的病也和吸烟有着千丝万缕的关系。27岁的他是因“咳嗽、咯血伴右胸痛2月余”入院的,入院后查胸部螺旋CT增强扫描提示:右肺中叶支气管开口区、下叶多发底段支气管增厚、狭窄,右下肺门强化肿块。起初医生还以为是特殊病原菌感染,但继续深入检查发现患者的右肺中叶支气管开口及右肺下叶基底段开口均可见新生物,予以活检病理,结果显示为“低分化癌”(表示肿瘤的恶性程度高,预后差),同时查出有骨转移,丧失了手术机会。记得病理切片出来的那天,小吴的父母是笑着来办公室的,可结果犹如晴天霹雳,让这个独生子女家庭瞬间飘摇在风雨中。母亲甚至嚎啕大哭,边哭还边骂:“这个不孝子,让他别抽烟别抽烟,还每天三四包地抽……”呼吸内科副主任陈腊青询问病史后发现,小吴家里没有恶性肿瘤家族史,父母、祖父母(二系三代)也都身体健康,自己也是小白领一个,没有特殊职业暴露史,所以致病主因就是吸烟。幸好,经过基因检测,小吴获得了靶向治疗的机会,一直服药治疗,生存期已达17个月。半年前小吴还出现了脑转移,目前病灶虽然控制稳定,但是他已经丧失了劳动能力,生活质量很差,并且随时可能复发。烟草和癌症据呼吸内科毛洪刚主任介绍,香烟燃烧的过程中可产生数千种有害物质,大致可分为6类:1.醛类物质:这一类物质主要对人体的呼吸道有很强的刺激作用。
2.尼古丁:尼古丁是香烟中成瘾的最主要成分,可以引起人体的交感神经兴奋,同时对血管壁有损伤作用。3.氰化物:也是有毒的物质。4.放射性物质:引起癌症。5.致癌物质。6.一氧化碳:俗称煤气。吸烟对人体的各个系统都有损伤:1、呼吸系统损伤:包括慢性支气管炎、肺气肿、慢性阻塞性肺疾病以及肺癌。2、心血管系统损伤:心脑血管疾病是全球首位的致死和致残原因,在我国心脑血管疾病引起死亡的人数占总死亡人数的40%以上。吸烟和二手烟暴露是心脑血管疾病最主要的可预防因素。吸烟可以导致心脏损伤,增加冠心病的风险。每天只吸1支烟,也会使男性冠心病风险增加74%,女性增加119%。3、脑血管疾病损伤:吸烟可导致脑血管和颈部动脉损害,增加中风的风险。吸烟者发生中风的风险是非吸烟者的1.5倍。吸烟量越大,吸烟年限越长,冠心病和卒中的发病率及死亡率增高越明显。
肺癌和吸烟的关系在20世纪初就已经很明确了,吸烟量跟肺癌的发生率是明确相关的。一天抽1包香烟的,可能得肺癌的概率增加20倍以上。随着吸烟次数的增多,得肺癌的几率明显增大。医学上有一个概念叫做年支。举个例子,假如一天吸20支烟,但是你吸了20年,就是400年支,可能得肺癌的发病率就增加了30多倍。像前文说到的那个小伙,年纪轻轻就得肺癌的,与过早的接触香烟是有一定关系的。也就是说吸烟越早,可能得肺癌的概率越高,但总体来说随着年龄的增加,肺癌的发病率也在明显增加。一般到了40岁以上,肺癌的发病率可能明显增高,到75岁可能就达到最高峰。
还在吸烟的朋友
健康无价!
为自己和家人的健康
多考虑考虑!



发表于 2020-5-31 20:14:38 | 显示全部楼层
烟,有哪个机构对它检测?
发表于 2020-5-31 21:48:50 来自手机 | 显示全部楼层
无烟
回复

使用道具 举报

发表于 2020-5-31 21:48:57 来自手机 | 显示全部楼层
会么?
回复

使用道具 举报

发表于 2020-5-31 21:51:12 来自手机 | 显示全部楼层
吸烟确实有害健康
发表于 2020-5-31 21:52:11 来自手机 | 显示全部楼层
禁不了,咋办?
 楼主| 发表于 2020-5-31 22:44:46 | 显示全部楼层
鹿磨山人 发表于 2020-5-31 20:14
烟,有哪个机构对它检测?

暂无
 楼主| 发表于 2020-5-31 22:45:13 | 显示全部楼层

所以一定要适量,
 楼主| 发表于 2020-5-31 22:46:03 | 显示全部楼层

是的,烟酒好比水火
发表于 2020-5-31 23:27:06 来自手机 | 显示全部楼层
吸烟有害健康
您需要登录后才可以回帖 登录 | 注册

本版积分规则

手机版|新仓论坛 ( 京ICP备030173号  

皖公网安备 34082502000080号

GMT+8, 2025-12-10 12:42 , Processed in 0.102945 second(s), 18 queries .

Powered by Discuz! X3.4

© 2001-2023 Discuz! Team.

快速回复 返回顶部 返回列表